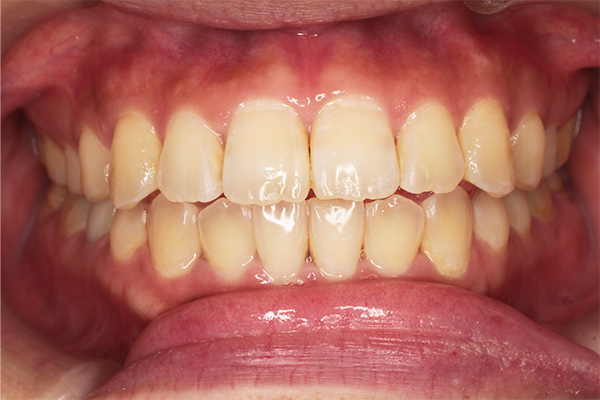
- 出っ歯の症例(上顎前突)
- 受け口の症例(下顎前突)
- すきっ歯の症例(空隙歯列)
- 歯がでデコボコの症例(叢生)
- 噛み合わせが深い症例(過蓋咬合)
- 前歯が噛み合わないの症例(開咬)
- 口ゴボの症例(上下顎前突)
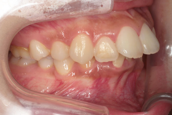
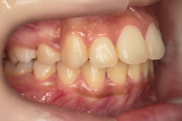
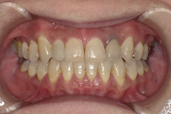
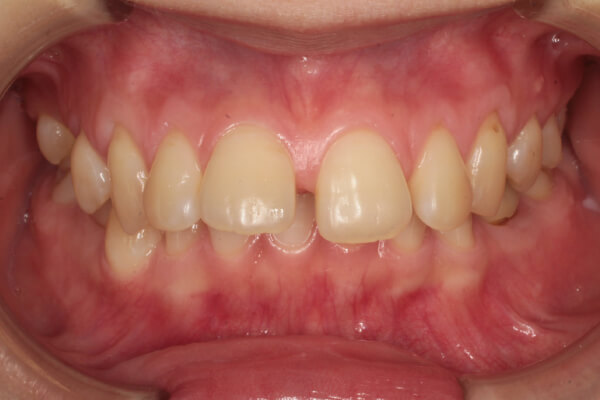
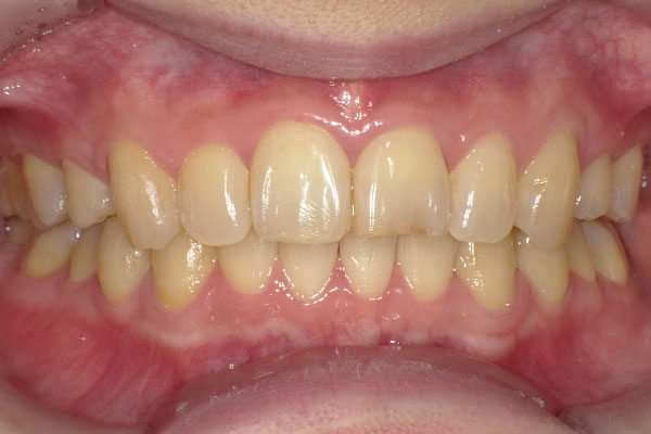
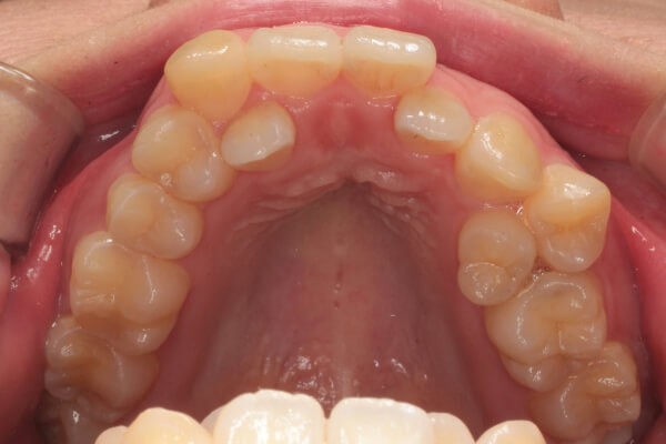
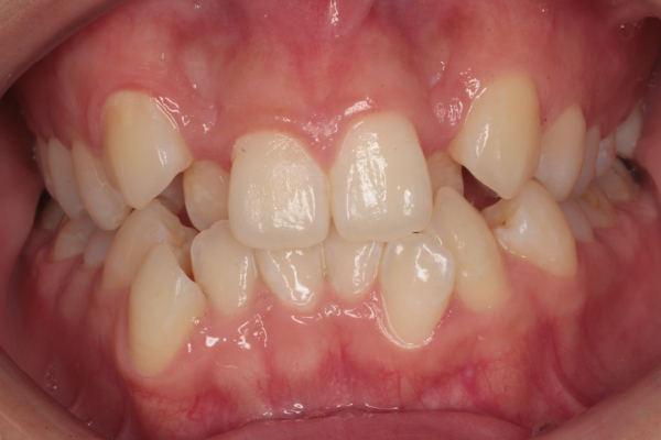
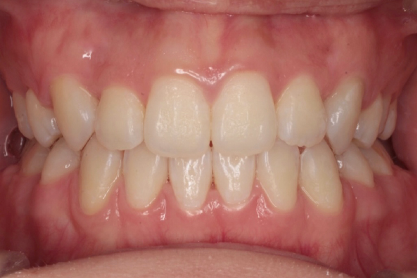
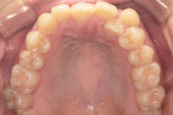
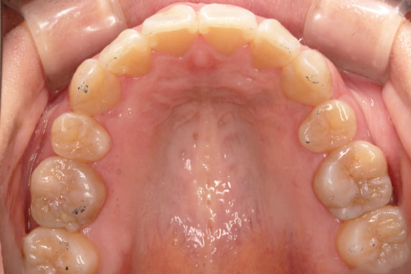
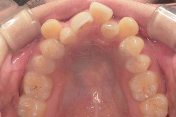
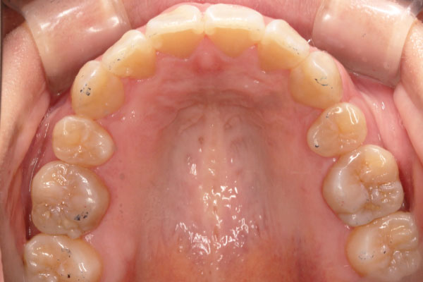
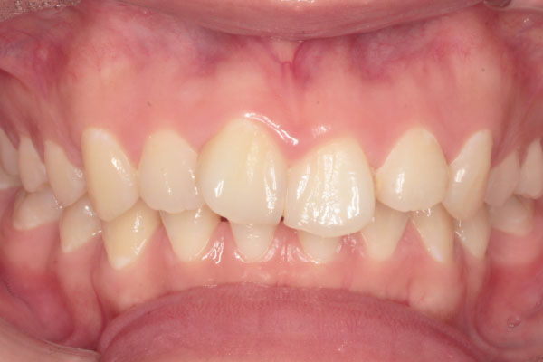
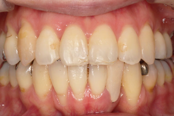
出っ歯の症例(上顎前突)
Case1 [20代女性]
- 上顎左右側第一小臼歯抜歯を行い裏側(舌側)矯正
Before

After

| 主訴 | 前歯を下げたい |
|---|---|
| 治療期間 | 2年3ヶ月 |
| 治療費 | ¥1,507,000(税込) |
| 治療のリスク | 一時的な疼痛、違和感など |
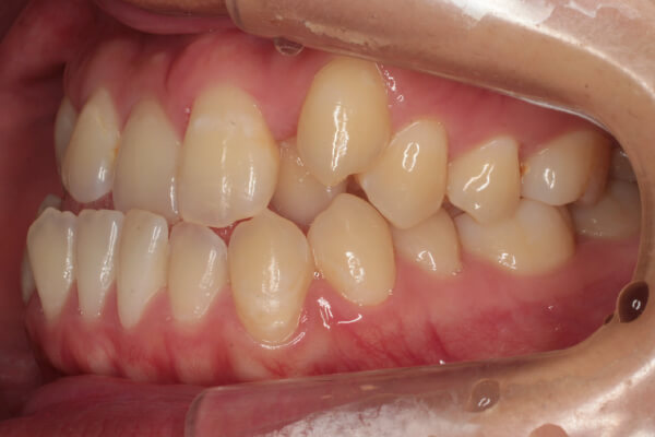
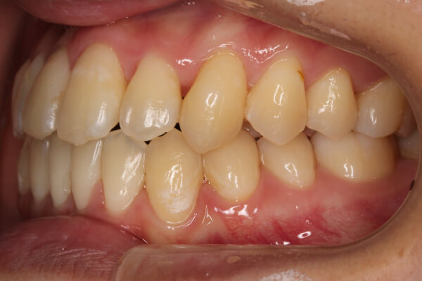
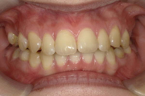
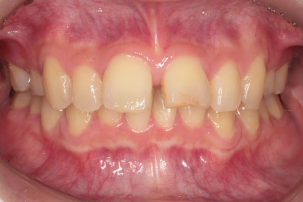
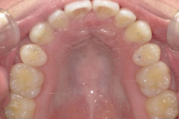
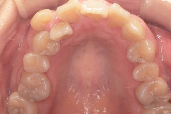
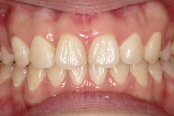
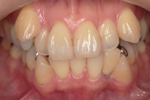
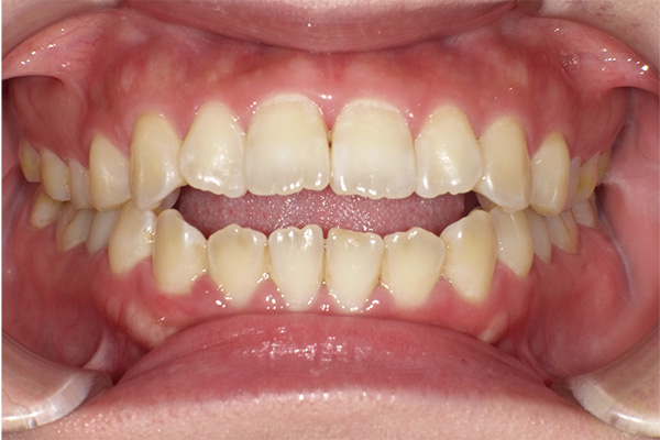
受け口の症例(下顎前突)
Case1 [30代女性]
- 抜歯をせず拡大、ディスキングを行い裏側(舌側)矯正
Before

After

| 主訴 | 前歯の反対咬合 |
|---|---|
| 治療期間 | 1年10ヶ月 |
| 治療費 | ¥1,485,000(税込) |
| 治療のリスク | 一時的な疼痛、違和感など |
Case2 [50代女性]
- ディスキング、前歯の拡大を行いマウスピース矯正にて治療
Before

After

| 主訴 | 反対咬合を治したい |
|---|---|
| 治療期間 | 1年10ヶ月 |
| 治療費 | ¥1,210,000(税込) |
| 治療のリスク | 一時的な疼痛、違和感など |
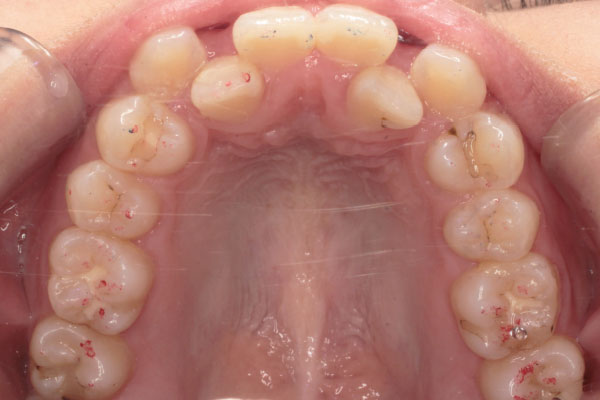
すきっ歯の症例(空隙歯列)
Case1 [20代女性]
- 上下顎前歯部の裏側からの部分矯正
Before

After

| 主訴 | すきっ歯を治したい |
|---|---|
| 治療期間 | 1年 |
| 治療費 | ¥726,000(税込) |
| 治療のリスク | 一時的な疼痛、違和感など |
Case2 [20代女性]
- 抜歯はせず裏側(舌側)矯正
Before

After

| 主訴 | すきっ歯 |
|---|---|
| 治療期間 | 1年10ヶ月 |
| 治療費 | ¥1,370,000(税込) |
| 治療のリスク | 一時的な疼痛、違和感など |
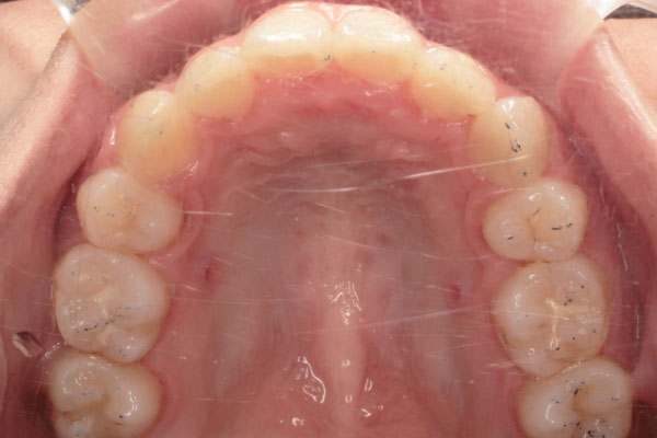
歯がでデコボコの症例(叢生)
Case1 [20代女性]
- 上顎左右側第一小臼歯抜歯を行いインプラントアンカーを併用しての裏側(舌側)矯正
Before

After

| 主訴 | 歯並びの凸凹 |
|---|---|
| 治療期間 | 2年6ヶ月 |
| 治療費 | ¥1,754,500(税込) |
| 治療のリスク | 一時的な疼痛、違和感など |
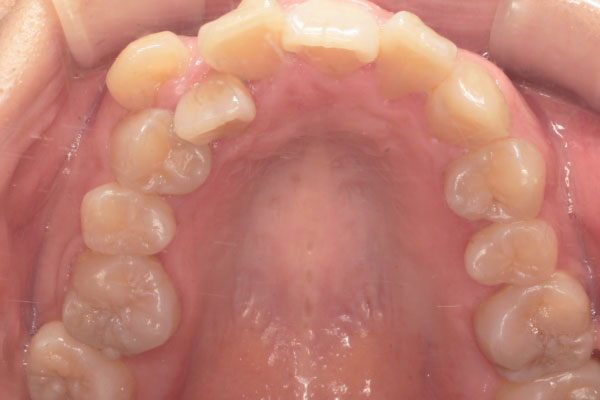
Case2 [20代女性]
- 左右側上下顎第一小臼歯を計4本抜歯を行い裏側(舌側)矯正
Before

After

| 主訴 | 歯並びの凸凹 |
|---|---|
| 治療期間 | 2年2ヶ月 |
| 治療費 | ¥1,573,000(税込) |
| 治療のリスク | 一時的な疼痛、違和感など |
Case3 [20代女性]
- 抜歯をせず拡大、ディスキングを行い裏側(舌側)矯正
Before

After

| 主訴 | 歯並びの凸凹 |
|---|---|
| 治療期間 | 1年6ヶ月 |
| 治療費 | ¥1,100,000(税込) |
| 治療のリスク | 一時的な疼痛、違和感など |
Case4 [20代女性]
- 上顎左右側第一小臼歯抜歯を行い裏側(舌側)矯正
Before

After

| 主訴 | 歯並びの凸凹 |
|---|---|
| 治療期間 | 2年4ヶ月 |
| 治療費 | ¥1,100,000(税込) |
| 治療のリスク | 一時的な疼痛、違和感など |
Case5 [20代女性]
- 上顎左右側第一小臼歯抜歯を行いマウスピース矯正
Before

After

| 主訴 | 歯並びの凸凹 |
|---|---|
| 治療期間 | 2年8ヶ月 |
| 治療費 | ¥880,000(税込) |
| 治療のリスク | 一時的な疼痛、違和感など |
Case6 [20代女性]
- 上下顎左右側第一小臼歯抜歯を行いマウスピース矯正
Before

After

| 主訴 | 歯並びの凸凹 |
|---|---|
| 治療期間 | 2年10ヶ月 |
| 治療費 | ¥1,100,000(税込) |
| 治療のリスク | 一時的な疼痛、違和感など |
Case7 [20代女性]
- 上顎左右側第一小臼歯抜歯を行いマウスピース矯正
Before

After

| 主訴 | 歯並びの凸凹 |
|---|---|
| 治療期間 | 2年10ヶ月 |
| 治療費 | ¥880,000(税込) |
| 治療のリスク | 一時的な疼痛、違和感など |
Case8 [20代女性]
- 抜歯せずディスキングにてマウスピース矯正
Before

After

| 主訴 | 歯並びの凸凹 |
|---|---|
| 治療期間 | 1年6ヶ月 |
| 治療費 | ¥770,000(税込) |
| 治療のリスク | 一時的な疼痛、違和感など |
Case9 [20代女性]
- 上下顎左右側第一小臼歯抜歯を行いマウスピース矯正
Before

After

| 主訴 | 歯並びの凸凹 |
|---|---|
| 治療期間 | 2年10ヶ月 |
| 治療費 | ¥1,100,000(税込) |
| 治療のリスク | 一時的な疼痛、違和感など |
噛み合わせが深い症例(過蓋咬合)
Case1 [20代女性]
- 上顎左右側第一小臼歯、下顎右側中切歯の抜歯を行い裏側(舌側)矯正
Before

After

| 主訴 | 咬み合わせが深い |
|---|---|
| 治療期間 | 2年4ヶ月 |
| 治療費 | ¥1,430,000(税込) |
| 治療のリスク | 一時的な疼痛、違和感など |
前歯が噛み合わないの症例(開咬)
Case1 [20代女性]
- マウスピース矯正
Before

After

| 主訴 | 開咬を治したい |
|---|---|
| 治療期間 | 1年 |
| 治療費 | ¥1,100,000(税込) |
| 治療のリスク | 一時的な疼痛、違和感など |
口ゴボの症例(上下顎前突)
Case1
- 上下顎左右側第一小臼歯抜歯を行い、アンカースクリューを用いて裏側矯正
Before

After

| 主訴 | 横顔が気になる、口元を下げたい |
|---|---|
| 治療期間 | 3年 |
| 治療費 | ¥1,410,000(税込) |
| 治療のリスク | 一時的な疼痛、違和感など |



