

矯正治療は、どこで受けても
同じと思っていませんか?
近年、歯並びへの関心が高まり、矯正治療を始める方が増えています。
それにともない、価格の安さをアピールする矯正ブランドも登場し、「安いから」と選ぶ方も少なくありません。
しかし、矯正治療は見た目だけでなく、噛み合わせや骨格バランスにも関わる専門性の高い治療です。安さだけで選んでしまうと、思い通りの結果が得られず後悔するケースもあります。
矯正治療を成功に導くには、歯科医師の経験と技術はもちろん、歯科用CTやセファログラム(頭部X線)、口腔内スキャナーなど、精密な診断と治療計画に必要な設備も欠かせません。
表参道で矯正歯科を専門にしている表参道AK歯科・矯正歯科では、矯正に関する無料相談を行っており、初診時にはお口全体を詳しく確認するための検査を丁寧に実施しています。現在の状態やお悩みをしっかりと伺ったうえで、一人ひとりに最適な治療プランをご提案し、安心して矯正治療に取り組めるよう、万全の体制でサポートしています。
“ここが違う”
結果に差がつく当院のこだわり
経験豊富なドクターによる丁寧な無料相談、先進のデジタル機器を活用した精密な診断、美しさと機能性を両立するバランス重視の矯正、そして難症例にも対応できる柔軟な治療体制——当院だからこそできる矯正治療があります。


01
経験豊富な医師による
安心の無料カウンセリング
矯正治療は長期的な取り組みだからこそ、最初の相談が大切です。経験豊富な医師が直接お話を伺い、不安や疑問に丁寧にお答えします。納得して治療を始められる環境を整えています。


02
AIを活用したデジタル矯正
精密なデジタル診断を実施
当院では、口腔内スキャナーや3D画像解析、AIによる分析などの先進のデジタル技術を駆使して、正確でブレのない診断を行っています。精密なデータに基づく治療計画を立てていきます。


03
お顔全体のバランスまで
考慮した矯正治療
歯並びだけでなく、お顔全体の骨格や筋肉の動きまで考慮し、自然で美しいバランスを追求しています。横顔のEラインや表情の調和を重視し、機能性と審美性を兼ね備えた治療をご提供します。


04
見た目だけじゃない、
噛み合わせ機能へのこだわり
見た目が整っていても、噛み合わせが合っていなければ、顎の痛みや歯のトラブルを引き起こすことがあります。当院では、治療後の安定性と快適さを重視し、機能面までしっかり考えた矯正を行っています。


05
複雑な症例にも対応する
多彩な治療法
当院はマウスピース矯正とワイヤー矯正の両方に対応し、患者様の状態やご希望に合わせて最適な治療方法を選択します。複雑な歯並びには、二つの装置を併用するハイブリッド矯正も可能です。
無料矯正相談
矯正治療をお考えの方、
歯並びでお悩みの方は
お気軽にご相談ください
治療に対する疑問や不安、期間や費用についてなど、どんなことでもご相談いただけます。経験豊富な院長がじっくりとお話を伺い、現在の歯並びの状態や考えられる選択肢について丁寧にご説明いたします。
「まずは話だけ聞きたい」という方も大歓迎です。無理に治療をすすめることはありませんので、迷っている段階でも安心してご来院ください。
歯並びや
噛み合わせが
気になる
矯正治療を
やり直したい
矯正治療で
横顔を整えたい
治療費用や期間は
どれくらい?
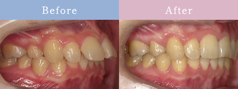
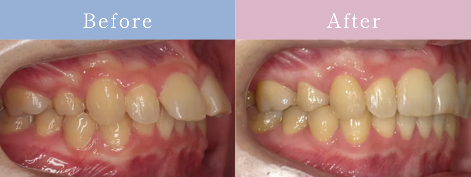
CASE症例
歯並びだけじゃない「お顔全体のバランスまで追求」
歯並びが原因でお顔立ちに
影響を与えている場合は
矯正治療で改善できます
当院の矯正治療メニューMENU
MOUTHPIECE
ORTHODONTICS
マウスピース矯正
当院では、インビザラインと院内製作のインハウスアライナー、2種類のマウスピース矯正を提供しています。どちらも透明で目立ちにくく、取り外し可能な装置で、患者様のニーズに合わせて選べます。




高品質なマウスピース矯正を
スピーディーに低価格でインハウスアライナー
当院では、3Dプリンターを活用し、マウスピース型矯正装置を院内で製作する「インハウスアライナー」に対応しています。
外部委託なしで迅速に装置を作製できるため、治療開始までの時間を短縮し、コストも抑えられます。また、院内で一人ひとりに合わせたオーダーメイドの装置を製作することで、より精密で質の高い矯正治療を実現しています。


世界中で支持される安心の
マウスピース矯正システムインビザライン
インビザラインは、米国アライン・テクノロジー社が開発した、世界シェアNo.1のマウスピース矯正システムです。
高度な3Dデジタル技術を駆使し、治療前に3Dシミュレーションソフト「クリンチェック」で歯の動きを詳細に設計することができます。
患者様一人ひとりに合わせたオーダーメイドの装置を作製し、部分矯正から難症例まで幅広く対応しています。

他院でマウスピース矯正を
断られた方へ
当院では、できる限り患者様のご希望の装置で治療が行えるよう心がけています。精密な診断を行ったうえで、一人ひとりに合わせた治療計画を立てるため、他院でマウスピース矯正が難しいと言われた場合でも、対応できる可能性があります。
ただし、マウスピース装置だけでは難しい場合には、ワイヤー矯正と併用するハイブリッド矯正や、補助装置を組み合わせ、より確実な歯の移動を図ります。
他院で治療が難しいと言われた方も、まずは当院の無料相談へお越しください。

金属アレルギーの方への
矯正治療
当院では、金属を使わないマウスピース矯正や、チタン・セラミック製の装置を用いたワイヤー矯正にも対応しています。歯並びによっては選択肢が限られることもありますが、多くのケースで治療が可能です。まずはお気軽にご相談ください。


院長小室 敦Atsushi Komuro
GREETING
見た目も機能も、バランスのとれた
美しさを目指して
矯正治療は、歯並びを綺麗に整えるだけでなく、噛み合わせや横顔のライン、表情のバランスなど、お顔全体の印象にも大きく関わる治療です。
当院では、AI分析や3Dスキャナーなどのデジタル機器を駆使し、見た目と機能の両面を重視した精密な診断と治療計画を行っています。ただ歯を並べるのではなく、患者さま一人ひとりのお顔立ちに調和する、美しく自然な仕上がりを目指しています。
「まずは話だけ聞いてみたい」という方も大歓迎です。矯正治療に不安を感じている方にも安心していただけるよう、丁寧にご説明し、無理なご提案はいたしません。
一人ひとりに合った、納得のいく矯正治療を一緒に考えていきましょう。どうぞお気軽にご相談ください。











































